Sindrom Joubert este o afecțiune genetică rară
ce apare la un copil din 100.000 nașteri.
Deși în majoritatea cazurilor apare la copii fără istoric familial de boală, în unele cazuri, boala poate fi moștenită.
În Sindrom Joubert este afectat ca și în sindrom Dandy – Walker o parte a cerebelului responsabilă de echilibru și coordonare numită vermis. Și în acest caz vermisul poate lipsi în totalitate sau parțial.
Simptomele pentru sindrom Joubert pot fi ușoare sau severe și includ:
- Perioade cu respirație anormală, respirații frecvente alternând cu pauze respiratorii. Dacă acest sindrom ar fi prezent de la naștere ar putea fi stabilit diagnosticul bolii de atunci; totuși aceste manifestări lipsesc în jumătate din cazuri și pot fi prezente și în alte boli.
- Lipsa coordonării mișcărilor. Inițial, la sugar se poate remarca o întârziere în dezvoltarea motorie pe etape fiind prea moale și apoi apare această instabilitate în menținerea poziției șezând, în mers, un tremor (termen medical care se referă la o mișcare ritmică, necontrolată și involuntară a unei părți sau a mai multor părți ale corpului) la prinderea obiectelor, numită ataxie.
- Mișcări oculare anormale sau o privire cu coada ochiului a obiectelor.
- Retard mental, dificultăți de învățare.

Mai pot apărea:
- convulsii,
- modificări la nivelul feței: ptoza palpebrală (pleoape căzute), urechi jos implantate, gura deschisă cu limba afară, despicarea palatului sau a buzei,
- mai multe degete,
- afectare hepatică: fibroză congenitală,
- afectare renală (chisturi renale),
- afectare cardiacă.
Diagnosticul în Sindrom Joubert poate fi sugerat de modificările respiratorii, dar malformația cerebrală se confirma prin CT și în special RMN cerebral.
Tratamentul este simptomatic și suportiv deoarece malformația nu poate fi corectată chirurgical.
Se recomandă:
- kinetoterapie,
- terapie ocupațională și logopedie,
- tratamentul convulsiilor dacă apar,
- corecția chirurgicală dacă există despicarea buzei și a palatului sau un deficit cardiac.
- evaluarea periodică prin controale oftalmologice, renale, hepatice, cardiace (dacă este cazul).
Prognosticul pentru Sindrom Joubert depinde de ce porțiune din cerebel lipsește.
Unii pacienți pot avea doar retard motor ușor și întârziere psihică ușoară, alții au retard motor sever și întârziere psihică medie.
Câteva precizări:
- Pentru ca Sindrom Joubert să fie moștenit, copilul trebuie să moștenească câte o genă cu “defect” de la ambii părinți. Părinții lui au câte o genă bună cât și una cu “defect”, de aceea nu au simptomul.
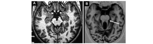
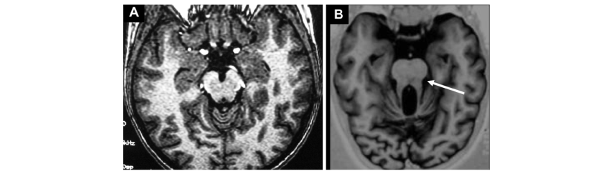
- Veți auzi doctorul vorbind despre o imagine RMN specifică în această afecțiune numită “semnul măseluței”. În Sindrom Joubert, în afara unei absențe parțiale sau complete a vermisului cerebelos (partea anatomică a creierului mic responsabilă de echilibru și coordonare și care face legătura între cele două părți ale acestuia numite emisfere cerebeloase) există o lipsă de dezvoltare a peduncului cerebral, parte a trunchiului cerebral, formațiune aflată în apropierea cerebelului și o formă specifică a ventriculului patru în aripă de liliac. Pe o anumita secțiune a RMN apare imaginea caracteristică de “măseluță”.








