SĂTĂMÂNA ACEASTA
Sindromul Alice în Țara Minunilor (SATM)
Alice în Țara Minunilor - o denumire foarte frumoasă pentru acest sindrom care a fost inspirată de romanul cu același nume al lui Lewis Carroll. Se pare că scriitorul suferea de migrenă, iar simptomele vizuale pe care le-a avut în timpul aurei au fost o sursă de inspirație pentru a scrie această carte.
BOLI GENETICE
DURERI DE CAP
Hipotermia
Hipotermia este definită ca o temperatură internă scăzută a corpului sub 35,0°C. Trebuie reținut însă că există diferențe între adult și copil. Hipotermia ușoară este între 36-36,4ºC, hipotermia moderată între 32-35,9ºC și hipotermia severă sub 32ºC.
BOLI GENETICE
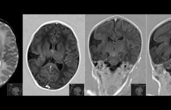
Tomografia cerebrală
Tomografia cerebrală este o metodă mai nouă de explorare radiologică,
superioară radiografiei atât prin informația furnizată cât și prin scăderea riscului de iradiere. Ca și radiografia, tomografia cerebrală este importantă în evidențierea integrității oaselor cutiei craniene sau a vertebrelor, prezența calcificărilor, dar oferă detalii importante despre substanța cerebrală, măduva spinării, structurile de la nivelul creierului, prezența unor formațiuni patologice, (tumori, hematoame) a unor leziuni determinate de boli cerebrale sau medulare.



































