Ce este Schizencefalia ?
O afecțiune neurologică determinată de o dezvoltare anormală a creierului. Mai exact, Schizencefalia este o malformație congenitală rară a creierului caracterizată prin prezența unor fisuri sau despicături anormale (numite și schize) care se întind de la suprafața creierului până la ventriculi (spațiile pline cu lichid din creier). Aceste fisuri sunt “acoperite”cu materie cenușie, lucru anormal.
Denumirea acestei afecțiuni, Schizencefalia, vine din compunerea cuvintelor “schizein” (despicătură, tăietură) și “enkephalos” (creier) din limba greacă.

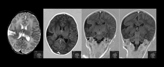
Diagnosticul se poate pune numai pe o investigație imagistică a creierului: tomografie computerizată sau rezonanță magnetică. Afecțiunea apare ca o “despicătură” în creier, care se întinde de la suprafața acestuia până la ventriculii laterali (cavitățile cu lichid din mijlocul creierului).
Aceste modificări ale creierului apar din viața intrauterină între prima și a șaptea lună de gestație.
Cauza
Cauza exactă a apariției acestei afecțiuni nu este cunoscută. Există mai multe ipoteze:
- fie aceste modificări apar în momentul dezvoltării creierului,
- fie se produce o distrugere a creierului, după formarea lui,
- fie există o modificare la nivelul unei gene care împiedică dezvoltarea normală a creierului (în acest caz, schizencefalia apare la mai multe generații în aceiași familie).
Deși modificările creierului sunt prezente la naștere, simptomele pot apărea mai târziu, de exemplu, în adolescență deoarece ele depind de extinderea și mărimea defectului.
Simptome
Cele mai frecvente simptome sunt:
- microcefalie,
- macrocranie cu hidrocefalie,
- paralizii ale membrelor, pe jumătate de corp (mână și picior) dacă schizencefalia este numai pe o parte a creierului sau pe întregul corp dacă defectul creierului este bilateral;
- întârziere în dezvoltarea psihică, de la forme ușoare până la forme severe,
- convulsii, care în 80% din cazuri apar sub vârsta de 3 ani.
La cei cu forme ușoare ale schizencefaliei, convulsiile pot apărea în adolescență.
Diagnosticul se stabilește pa baza de CT cerebral sau RMN cerebral, când se pot identifica și alte malformații cerebrale. Nu există un test genetic specific pentru aceasta boală.
Tratament
Nu există un tratament specific al bolii, deoarece modificările odată apărute nu se mai pot repara. Se pot trata convulsiile cu medicație anti-epileptică, se poate pune drenaj ventriculo-peritoneal în caz de hidrocefalie, se poate interveni neurochirurgical în cazul unor modificări ale creierului care determină convulsiile.
Bolnavii pot avea nevoie de kinetoterapie și terapie ocupațională.
Prognosticul în caz de Schizencefalie depinde de mărimea “despicăturii” și semnele neurologice asociate.
La cei cu afectare bilaterală a creierului, convulsiile debutează precoce și sunt rezistente la tratament. Cei cu afectare unilaterală pot avea doar convulsii, fără afectare motorie sau retard.







