De Actualitate
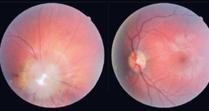
Examenul fundului de ochi
Examenul fundului de ochi, se efectuează în principal cu două echipamente oftalmologice, cu ajutorul oftalmoscopului sau cu un biomicroscop.
Medicul specialist are acces să privească prin pupila normală sau dilatată cu ajutorul unor substanțe speciale observând astfel retina și elementele ei.
Mișcări rituale
Mișcări rituale
aEEG sau EEG de amplitudine integrată
aEEG sau electroencefalografie de amplitudine integrată este o metodă mai nouă de EEG ce permite înregistrarea pe durată marea traseului EEG. Este des folosită în supravegherea cerebrală a nou născuților în maternitățile din țară.
Piracetam 400
Piracetam este un medicament nootrop ce favorizează procesele mintale și protejează neuronii cerebrali față de agresiuni.
Regimul de viață a copilului cu epilepsie
Definiția cea mai des întâlnită pentru epilepsie, este de boală manifestată prin crize repetabile. Criza este o manifestare clinică ce apare în urma unei descărcări electrice ale neuronilor din creier (sau o grupă de neuroni). Neuronul este celula nervoasă a creierului.
Neurontin 100, 300, 400
Neurontinul este indicat ca monoterapie în tratamentul pacienților cu convulsii parțiale, cu sau fără fenomene de generalizare secundară, la adulți și copii cu vârsta peste 12 ani. Siguranța și eficacitatea monoterapiei la copii cu vârsta sub 12 ani nu au fost încă determinate.
Convulsii hipomagneziemice
Convulsii hipomagneziemice apar pe fondul scăderii magneziului din sânge și se asociază cu scăderea calciului. Din acest motiv, convulsiile au aspect asemănător dar nu se opresc la administrarea de calciu ci la administrarea de magneziu.
Electroencefalograma EEG
Electroencefalograma reprezintă înregistrarea câmpurilor electrice de la nivelul scalpului. Este o investigație medicală lipsita de nocivitate care se poate realiza când pacientul doarme sau este treaz în funcție de scopul urmărit.
Cum crește copilul tău ?
Cum crește copilul tău ? Să-ți privești copilul crescând este una dintre cele mai minunate experiențe pentru un părinte. Primii ani din viață și mai ales primele 12 luni, reprezintă un proces complex în care se produc modificări importante pe plan motor și psihic.
MOST POPULAR
Fenitoin capsule
Fenitoin capsule - acțiune anticonvulsivantă, antiepileptică, este un medicament antimigrenos, analgezic; antiaritmic cardiac.
LATEST REVIEWS
Piracetam 400
Piracetam este un medicament nootrop ce favorizează procesele mintale și protejează neuronii cerebrali față de agresiuni.
Diskinezia paroxistica indusă de exerciții fizice
Diskinezia paroxistica indusă de exercitii fizice este o formă de diskinezie paroxistica caracterizată prin prezența unor episoade nedureroase de încordare a extremităților sau de prezența unor posturi anormale ale corpului declanșate de efortul fizic (distonie).


























