Ce trebuie sa faci la o criză convulsivă ?
Ce trebuie sa faci dacă copilul tau suferă de o criză convulsivă ?
Gena MTHFR
Gena MTHFR (metilentetrahidrofolat reductază) codifică enzima cu același nume care este importantă în transformarea aminoacidului homocisteină în metionină, important în sinteza unor proteine și în detoxifierea organismului.
Homocisteina și mutațiile genei MTHFR
Metilentetrahidrofolat reductaza (MTHFR) este o enzimă importantă în organism pentru transformarea unui aminoacid toxic homocisteina în metionină. Dacă enzima nu este activă, atunci homocisteina nu se mai transformă în metionină și rămâne în concentrație mare în sânge.
Genetica moleculara a epilepsiei
Genetica moleculara a epilepsiei - Epilepsia este o afecțiune comună, cu o incidență de până la opt la mie. Într-o proporție de aproximativ 20% din cazuri, există o cauză exterioară ce a declanșat-o. Aici intră traume sau accidente vasculare cerebrale. Restul de 80% sunt factori genetici.
Convulsii neonatale familiale benigne
Convulsii neonatale familiale benigne - o boală genetică. Sunt convulsii a căror cauză nu se cunoaște cu exactitate. Ele apar la o anumită vârstă a nou-născutului, în 80% din cazuri în ziua a2a sau a3a de viață.
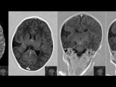
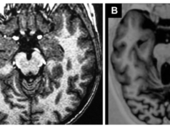
Schizencefalia
Schizencefalia - afecțiune neurologica determinată de o dezvoltare anormală a creierului ce apare între prima și a șaptea lună de gestație. Simptome: microcefalie, macrocranie cu hidrocefalie, paralizii ale membrelor, întârziere în dezvoltarea psihică, convulsii, care în 80% din cazuri apar sub vârsta de 3 ani.
Mișcări în oglindă
Mișcarea în oglindă înseamnă o mișcare involuntară, controlateral, simultană cu o mișcare normală. De exemplu, atunci când vrei să iei un pix cu mâna dreaptă, mâna stângă va face aceiași mișcare, de a lua un pix imaginar.
Malformația venei Galen
Vena Galen este una din venele profunde care adună sângele de la creier și îl transportă spre inima. Malformația venei Galen apare între săptămâna a 6a și a 11a de gestație, deci atunci cand fatul este foarte mic.
Scleroza tuberoasă Bourneville
Scleroza tuberoasă Bourneville este o boală care poate fi transmisă de un unul din părinți, dar în 80% din cazuri ea poate apărea spontan, părinții fiind sănătoși.
Sindrom Joubert
Sindrom Joubert este o afecțiune genetică rară, ce apare la un copil din 100.000 nașteri. Deși în majoritatea cazurilor apare la copii fără istoric familial de boală, în unele cazuri, boala poate fi moștenită.













